Kožné choroby sú nepríjemné, bolestivé a niekedy aj nebezpečné. V tomto článku sa dozviete o najdrsnejších kožných chorobách, ktoré môžu postihnúť ľudí rôzneho veku a pohlavia. Prečítajte si, ako sa prejavujú, čím sú spôsobené a ako sa dajú liečiť.
Koža je najväčší orgán ľudského tela, ktorý plní množstvo dôležitých funkcií. Chráni nás pred vonkajšími vplyvmi, reguluje teplotu, zabezpečuje výmenu látok a podieľa sa na imunitnej obrane. Koža je však aj vystavená rôznym chorobám, ktoré môžu mať vážne následky pre zdravie a kvalitu života. V tomto článku sa pozrieme na niektoré z najhorších kožných ochorení na svete, ktoré postihujú milióny ľudí.
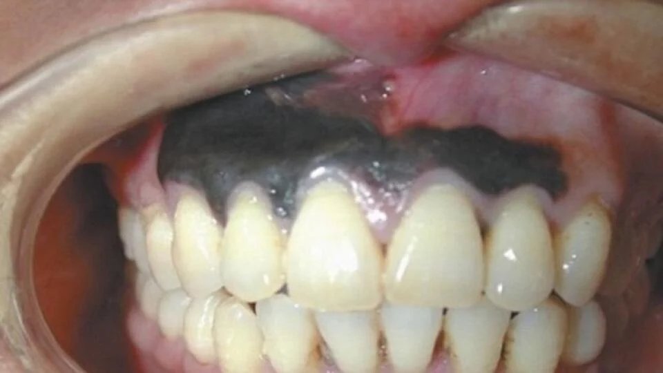
Melanóm je najzávažnejší typ rakoviny kože, ktorý vzniká z pigmentových buniek - melanocytov. Melanóm sa môže objaviť na akejkoľvek časti tela, ale najčastejšie sa nachádza na tvári, krku, chrbte, hrudi a končatinách. Melanóm sa prejavuje ako nepravidelný, tmavý, zväčšujúci sa znamienko, ktoré sa môže meniť na farbe, tvaru, veľkosti a povrchu. Melanóm sa môže rýchlo šíriť do iných orgánov a spôsobiť smrť, ak nie je včas diagnostikovaný a liečený.
Príčinou melanómu je najmä nadmerné slnenie a opaľovanie, ktoré poškodzujú DNA v kožných bunkách. Rizikovými faktormi sú aj svetlá pokožka, modré oči, červené alebo blond vlasy, množstvo znamienok, rodinná anamnéza, oslabená imunita a niektoré genetické mutácie. Prevenciou melanómu je vyhýbanie sa priamemu slnečnému žiareniu, používanie opaľovacích krémov s vysokým ochranným faktorom, nosenie pokrývok hlavy a oblečenia, ktoré zakrýva pokožku, a pravidelné samovyšetrovanie a kontrola u dermatológa.
Liečba melanómu závisí od jeho štádia, veľkosti, umiestnenia a rozšírenia. Základnou metódou je chirurgické odstránenie nádoru a okolitých lymfatických uzlín. V pokročilých prípadoch sa používajú aj ďalšie metódy, ako je imunoterapia, cielená terapia, chemoterapia, rádioterapia alebo kombinácia týchto metód.
Lepra, tiež známa ako mor, je infekčné ochorenie, ktoré spôsobuje baktéria Mycobacterium leprae. Lepra postihuje najmä kožu, nervy, sliznice a oči. Lepra sa prejavuje ako začervenané, bezbolestné, necitlivé škvrny na koži, ktoré sa môžu zväčšovať a spôsobovať deformácie a straty častí tela, ako sú prsty, nos, uši alebo očné viečka.
Toto ochorenie tiež spôsobuje zápal nervov, ktorý vedie k zníženej citlivosti, slabosti, ochrnutiu a zlyhaniu orgánov. Lepra môže mať aj psychické a sociálne dôsledky, ako je stigmatizácia, diskriminácia, izolácia a chudoba.
Lepra sa prenáša vzdušnou cestou, kontaktom s infikovanými osobami alebo zvieratami, najmä s opicami a pancierovcami. Inkubačná doba lepry je dlhá, od niekoľkých mesiacov až po niekoľko rokov. Rizikovými faktormi sú nízka hygiena, chudoba, preľudnenosť, oslabená imunita a genetická náchylnosť. Prevenciou lepry je zlepšenie životných podmienok, zvýšenie povedomia, skoré odhalenie a liečba prípadov a očkovanie.
Liečba lepry spočíva v podávaní kombinácie antibiotík, ktoré zabíjajú baktérie a zabraňujú ďalšiemu šíreniu infekcie.
Ochorenievtrvá od 6 do 12 mesiacov, v závislosti od typu a závažnosti ochorenia. Liečba tiež zahŕňa starostlivosť o postihnuté časti tela, rehabilitáciu, chirurgické zákroky a psychosociálnu podporu.
Pemfigus je vzácne autoimunitné ochorenie, ktoré spôsobuje tvorbu pľuzgierov na koži a slizniciach. Pemfigus je spôsobený protilátkami, ktoré útočia na proteíny, ktoré držia kožné bunky pokope. Tým sa naruší kožná bariéra a vznikajú pľuzgieriky naplnené tekutinou, ktoré sa ľahko pretrhnú a zanechávajú otvorené, bolestivé a infikované rany.
Toto ochorenie sa môže vyskytnúť na akejkoľvek časti tela, ale najčastejšie postihuje ústa, nos, hrdlo, pohlavné orgány a konečník. Pemfigus môže byť život ohrozujúci, ak nie je liečený, pretože môže spôsobiť dehydratáciu, infekcie, sepzu a orgánové zlyhanie.
Príčinou pemfigusu nie je presne známa, ale predpokladá sa, že ide o kombináciu genetických, environmentálnych a imunologických faktorov. Niektoré spúšťače pemfigusu môžu byť lieky, infekcie, stres, popáleniny, zranenia, potraviny alebo chemikálie.
Rizikovými faktormi sú aj stredný až vyšší vek, židovský alebo stredomorský pôvod a niektoré chronické ochorenia, ako je cukrovka, lupus alebo myasthenia gravis. Prevenciou pemfigusu je vyhýbanie sa spúšťačom, ktoré môžu vyvolať alebo zhoršiť ochorenie.
Liečba pemfigusu zahŕňa podávanie imunosupresívnych liekov, ktoré potláčajú imunitný systém a znižujú produkciu protilátok. Tiež sa používajú kortikosteroidy, ktoré majú protizápalový účinok a znižujú tvorbu pľuzgierov. V niektorých prípadoch sa môže použiť aj plazmaferéza, ktorá odstraňuje protilátky z krvi alebo intravenózna imunoglobulína, ktorá poskytuje protilátky z darovanej krvi. Liečba tiež zahŕňa starostlivosť o kožu, prevenciu infekcií, bolesti a dehydratácie, a psychologickú podporu.
Epidermolýza bulóza je skupina genetických ochorení, ktoré spôsobujú extrémnu krehkosť a citlivosť kože. Epidermolýza bulóza je spôsobená chybami v génoch, ktoré kódujú proteíny, ktoré sú zodpovedné za spojenie vrstiev kože. Tieto chyby vedú k tomu, že koža sa ľahko odtrháva a tvorí pľuzgiere pri najmenšom kontakte, trení, tlaku alebo teple. Epidermolýza bulóza sa môže prejavovať už od narodenia alebo sa objaviť neskôr v živote.
Choroba môže postihovať celé telo, vrátane vnútorných orgánov, ako sú pažerák, žalúdok, črevá, pľúca, srdce a oči. Epidermolýza bulóza môže spôsobiť chronickú bolesť, infekcie, jazvy, deformácie, stratu funkcie, malnutríciu, anémiu, rakovinu a predčasnú smrť.
Toto kožné ochorenie je dedičná, čo znamená, že sa prenáša z rodičov na deti. Typ a závažnosť ochorenia závisí od toho, aký druh mutácie sa vyskytol a aký spôsob dedičnosti sa uplatnil. Niektoré formy epidermolýzy bulózy sú autosomálne dominantné, čo znamená, že stačí jeden postihnutý gén od jedného z rodičov. Iné formy sú autosomálne recesívne, čo znamená, že sú potrebné dva postihnuté gény, jeden od každého z rodičov. V niektorých prípadoch sa môže epidermolýza bulóza vyskytnúť aj náhodne, bez rodinnej anamnézy.
Epidermolýza bulóza nemá liek, ale existujú spôsoby, ako zmierniť jej príznaky a zlepšiť kvalitu života. Liečba zahŕňa starostlivé ošetrovanie kože, prevenciu a liečbu pľuzgierov, infekcií, bolesti a krvácania, podporu výživy a hydratácie, chirurgické korekcie, fyzioterapiu, genetické poradenstvo a psychologickú podporu.
Nekrotizujúca fasciitída je zriedkavé, ale mimoriadne nebezpečné ochorenie, ktoré spôsobuje rýchle a rozsiahle odumieranie podkožnej tkanivy, svalov a krvných ciev. Nekrotizujúca fasciitída je spôsobená infekciou rôznymi baktériami, najčastejšie streptokokmi skupiny A, ktoré sa dostanú do tela cez poranenie kože, napríklad reznú, bodnú, popáleninovú alebo chirurgickú ranu. Baktérie sa množia v podkoží a vylučujú toxíny, ktoré ničia okolité tkanivá a spôsobujú zápal, opuch, bolesť, horúčku, zimnicu a zhoršenie celkového stavu.
Postihnuté miesto sa zafarbí do červena, modra, čierna alebo fialova a vytvárajú sa pľuzgiere a vredy. Nekrotizujúca fasciitída sa môže šíriť po celom tele a ohroziť život pacienta, ak nie je včas liečená.
Príčinou nekrotizujúcej fasciitídy je najmä oslabená imunita, ktorá nezabrzdí rast baktérií. Rizikovými faktormi sú aj cukrovka, obezita, alkoholizmus, drogová závislosť, rakovina, AIDS, chronické ochorenia pečene alebo obličiek, užívanie kortikosteroidov alebo imunosupresív, starší vek a tehotenstvo. Prevenciou nekrotizujúcej fasciitídy je dodržiavanie hygieny, dezinfekcia a ošetrenie akýchkoľvek rán na koži, posilňovanie imunity a včasná konzultácia s lekárom pri podozrivých príznakoch.
Liečba nekrotizujúcej fasciitídy je naliehavá a vyžaduje hospitalizáciu na jednotke intenzívnej starostlivosti. Liečba zahŕňa podávanie vysokých dávok antibiotík, ktoré zastavia infekciu, a chirurgické odstránenie odumretej tkanivy, ktorá sa nazýva debridement. V niektorých prípadoch môže byť potrebná aj amputácia postihnutej končatiny, aby sa zachránil život pacienta. Liečba tiež zahŕňa podporu dýchania, krvného tlaku, výživy a hydratácie, prevenciu komplikácií, ako je sepza, zlyhanie orgánov, šok alebo krvácanie, a psychologickú podporu. Po liečbe môže byť potrebná aj rekonštrukčná plastická chirurgia, rehabilitácia a dlhodobá starostlivosť
Svrab je kožné ochorenie, ktoré spôsobuje zákožka svrabová, malý roztoč, ktorý sa zavrtáva do pokožky a kladie vajíčka. Svrab sa prejavuje silným svrbením, najmä v noci, a červenými, šupinatými a zapálenými škvrnami na koži, najčastejšie medzi prstami, na zápästí, v podpazuší, na bruchu, na pohlavných orgánoch a na zadku.
Ochorenie sa prenáša priamym kontaktom s infikovanou osobou alebo nepriamym kontaktom s kontaminovanými predmetmi, ako sú oblečenie, posteľná bielizeň, uteráky alebo hračky. Svrab sa lieči špeciálnymi prípravkami, ktoré sa nanášajú na celé telo a zabíjajú roztoče a ich vajíčka. Je potrebné tiež dezinfikovať všetky použité predmety a preliečiť aj všetkých blízkych kontaktov.
Zdroje:
https://www.dadosens.sk/magazin/5-najcastejsich-koznych-problemov
https://www.najlekaren.eu/aktuality/9-najcastejsich-koznych-problemov-liecba.html
https://zdravoteka.sk/choroby/choroby-koze-nechtov-a-vlasov/
https://slovenskypacient.sk/choroby-oci-poruchy-zraku-sa-koncia-aj-slepotou-starajte-sa-o-svoje-oci/

Pre používanie spravodajstva Netky.sk je potrebné povoliť cookies